6472 Camden Ave, Suite 100, San Jose, CA 95120

Creating Confidence Within Every Smile
It can be frustrating to live with chipped, cracked, or discolored teeth and struggle with the effects these smile imperfections can have on your confidence. They can make you hesitant to smile, speak, or interact with others, diminishing your quality of life. However, at Almaden Valley Smile Design, we believe you don’t have to settle for less regarding your smile.
Our San Jose, CA dental office offers a transformative solution with veneers, including both porcelain veneers and Lumineers, to help you regain your confidence. Veneers are thin, custom-made shells designed to cover the front surface of your teeth, correcting a wide range of cosmetic issues. If you want a flawless, natural-looking smile, our veneers can provide the solution you’ve been searching for!
Who is a Candidate for Veneers and Lumineers?
- Individuals with chipped or cracked teeth
- Discolored or stained teeth that don’t respond to whitening
- Gaps between teeth
- Patients with slightly misaligned or irregularly shaped teeth
- Individuals searching for a long-lasting cosmetic solution
- Patients a minimally invasive option
What to Expect During the Veneer Process
The Consult
Treatment Planning
The Procedure

The Benefits of Veneers and Lumineers
Veneers and Lumineers offer numerous benefits beyond enhancing your smile’s appearance. Porcelain veneers are renowned for their durability and natural look, providing a long-lasting solution to chipped, cracked, or discolored teeth. They are resistant to staining and can be customized to match the color and shape of your natural teeth, ensuring a seamless blend with your existing smile.
Lumineers differ from porcelain veneers because they are ultra-thin and require little to no tooth preparation, preserving more of your natural tooth structure. Both options provide a quick, minimally invasive way to achieve a perfect smile with lasting results for years. Whether you’re looking to correct minor imperfections or dramatically change your smile, veneers, and Lumineers can give you the confidence boost you need.
Affordable Porcelain Veneers with Flexible Financing Options
At Almaden Valley Smile Design, we understand that the cost of porcelain veneers can be a concern for many patients. That’s why we offer financing options to make your dream smile more accessible.
We’re committed to helping you afford the dental veneers you need. Our goal is to ensure that cost doesn’t stand in the way of achieving the smile you’ve always wanted. Whether you’re interested in porcelain veneers or Lumineers, we’ll work with you to find a payment solution that fits your budget. A beautiful, confident smile is within reach, and we’re here to help you every step of the way.
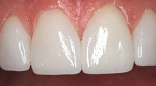
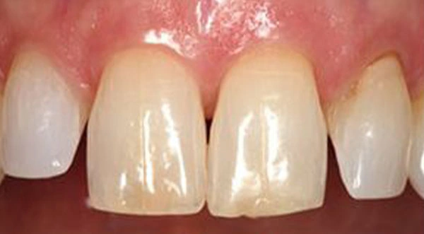
The Proof is in Our Patients
Before

After

Before

After

Before

After

Complete This Short Smile Evaluation and Receive the Following:
- If you're a good candidate for veneers
- A Digital Smile Design to show you what you will look like with your new veneers!
- Pricing and options for treatment
- And best of all... a time to speak directly with Dr. Clara Andirious. Top Cosmetic Dentists in San Jose, CA!

