
To clarify, Dr. Clara is an exceptional professional. Beyond her medical expertise, she consistently demonstrates remarkable energy and a positive demeanor. Her dedication extends to her patients, staff, and family. Having known her for over four decades, I can attest that her maturity and humility contribute significantly to the high quality of service she provides. Patients are traveling from considerable distances to seek her care, a testament to her outstanding work, profound knowledge, and comprehensive understanding, all underpinned by her extensive educational background and career achievements. I wholeheartedly recommend her services. Thank you, Dr. Clara!

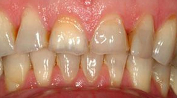
I just moved here from Illinois. So compared to my Illinois dental place, this place seems very different. This is my initial visit for a cleaning, so it is first impressions. They have the digital xray machine and the ultrasonic scaler I think was newer with adjustable levels. Dr. Clara did the cleaning herself, with assistant present. In Illinois, cleanings are done by a number of hygienists and the doctor does a final lookover. They are very sharp, the assistant could see from the xrays that I had veneers applied, and that 2 were missing. They didn't do a hardsell to replace those veneers. I am really surprised at how much they care about customer service.

I had another great experience for my dental cleaning and comprehensive exam work recently ! Entire team provided an excellent service to ensure work was completed flawlessly and with highest quality. Rochelle did a great job examining my teeth and followed up with excellent cleaning work. Dr Andirious is very friendly and did an excellent examination for my oral health. Front desk administrative support by Gracie and Sierra was very efficient and friendly!
I highly recommend the Almaden Valley Smile Design!

This is the best dentist in the Bay Area . Staff is amazing ! I chose this place randomly because it was close to my apartment but you should purposely choose her because she is quite simply the best !!! Highly recommended !!! I love this place ! I continue to be impressed. It’s a family atmosphere with outstanding professionalism and warmth ! If I move out of state Im coming back here for dentist appointments.The staff and Clara are warm , friendly and what every dentist office should aspire to be . This is my dentist office for life ! ☀️